白い歯に関する勘違い

白い歯に関する勘違い

白く綺麗な歯を出し微笑む女性

白い歯に憧れを抱く方は多く、昔に比べるとホワイトニングを始める方も増えてきました。 しかし、中には「白い歯」に関する間違った知識を持っている方もいらっしゃいます。 ホワイトニングとクリーニングの違いが分からない、歯が白く見える理由や白いかぶせ物なども勘違いを抱きやすい項目です。失敗や後悔のない選択をするためにも、正しい情報を得るようにしましょう。

ホワイトニングと
クリーニングは同じ?

スマートフォンを片手に考える女性

歯を白くする手段としてまず思い浮かべるのは、ホワイトニングやクリーニングではないでしょうか。確かにどちらも歯を白くする効果はありますが、歯が白くなる理由や仕組みは異なります。ホワイトニングは歯そのものの色を漂白する方法で、クリーニングは歯の表面に付着した歯石や歯垢、ヤニや茶渋を落とす方法です。 ホワイトニングでは、歯の表面に付着した歯石や歯垢などを落とすことはできません。

ホワイトニングとクリーニングの違い

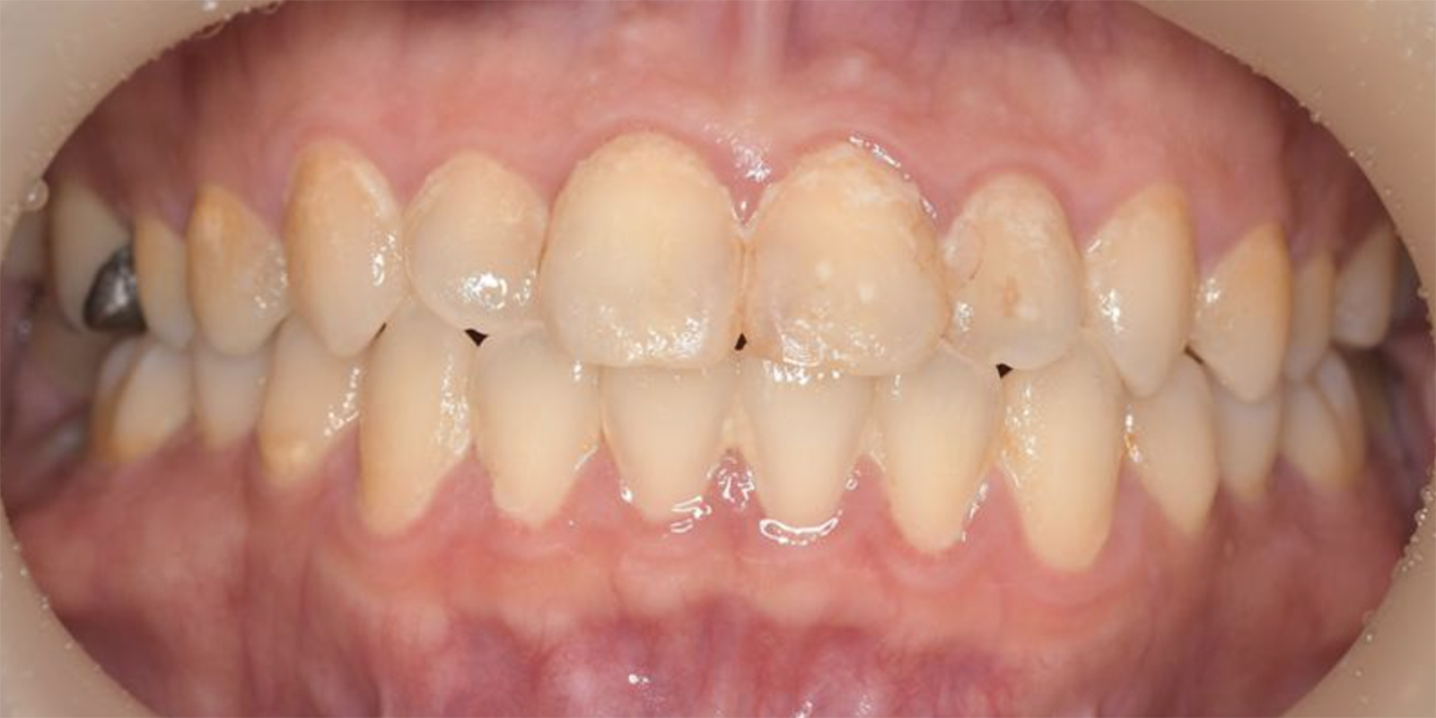
部分的に歯が白いのは病気?

部分的に白い箇所がある歯を写したお口の写真

歯の全体ではなく、部分的に白くなるケースがあります。 ホワイトニングの初期によく見られる症状ですが、ホワイトニングを続けることでなくなるため、心配いりません。幼い頃から部分的に白い場合は、初期むし歯、あるいは歯のエナメル質が形成される段階で上手く作られなかった可能性があり、専門用語ではその状態をエナメル質形成不全といいます。

エナメル質形成不全の原因は?

エナメル質形成不全の原因は、主に乳歯のむし歯といわれています。 また、歯茎や歯の怪我、高熱や発疹、遺伝によって起こる場合もあります。遺伝性の場合は予防できません。

汚れが溜まると歯が
白く見える?

歯垢が付着し、汚れているお口の中の写真

歯の表面に歯垢が付着していると、黒くなったむし歯や着色が隠れて歯が白くなったように見えることがありますが、放置は厳禁です。 歯垢はむし歯や歯周病の原因で、放置して歯石になるとその表面には更に汚れが溜まりやすくなるため、不衛生な状態が続きます。歯垢は細菌の塊です。放置せずにクリーニングやホワイトニングなどの正しい方法で歯を白くしましょう。

保険を使って白い歯を入れる
ことはできる?

CAD/CAM冠は、保険適用が可能な白いかぶせ物です。 審美性を求める方や金属アレルギーがある方に人気のかぶせ物ですが、天然歯のような自然な透明感は表現できないため、より自然に見せたい場合は自費で行うセラミック冠をおすすめします。

CAD/CAM冠の特徴

  • 保険適用の白いかぶせ物
  • 金属アレルギーがある方でも安心
  • 自然な透明感は出せない
  • 天然歯より強度が劣るため擦り減りやすい
  • 前歯から中間の奥歯(1~5番)に適用される
  • 6番目の奥歯に被せるには条件をクリアする必要がある

歯の色見本でチェック?
白い歯の色

シェードガイドという色を確認するための歯の見本を歯に近づけ鏡で確認し、色味の確認をしている様子

歯科医院には、かぶせ物の色を決める際に使用する歯の色見本があります。 日本人の多くはA3ぐらいが自然に見えるといわれており、A3以上に白くすると見た目に違和感が出る場合があります。 ご自身の歯の色がどのくらい白いのかを知りたい方は、一度先生やスタッフにお声かけください。

まとめ

東松原歯科の院内にある診療台

白い歯にするには、ホワイトニングをはじめ、クリーニングや白いかぶせ物をするなど様々な方法が存在します。 確実な白さを手に入れたいのであれば、ホワイトニングや白いかぶせ物がおすすめです。しかし、ホワイトニングの場合は食事制限や副作用が起こるリスクがあり、かぶせ物の場合は歯を削る必要があるなどデメリットも存在します。しっかり理解したうえで決断しましょう。

汚れを溜めて白く見せたり、市販のホワイトニング方法で多い歯の表面を削るやり方は、歯そのものの寿命を短くする恐れがあり、非常に危険です。 白くて美しい歯を長く維持するためにも、正しい方法を選択することをおすすめします。