ホワイトニングの種類
当院では、ホワイトニングを1回4,400円(30分)からおこなっております。 少し前までは女性がするものというイメージが強かったホワイトニングですが、今では男女問わず人気です。
ホワイトニングは保険が適応されません。そのため使用する薬液や機械は同じなのに歯科医院ごとに金額設定が異なるため高額なこともあれば、安価なこともあります。
元々の歯が白く回数が必要ない方や、以前ホワイトニングを受けていたけど色がついてきたから「あと少しだけ白くしたい」と感じている方は、1回4,400円で気軽に始められる当院のホワイトニングをお試しください。
当院のホワイトニングの
4つの特徴
- お手頃な価格でホワイトニングを始められる
- 合わないと感じた場合は1回で辞めることもできる
- オフィスホワイトニングは1日3回まで施術が可能
- コースが無いため施術回数を気にしなくても良い
ホワイトニングを受けることで得られるメリットは数多くありますが、中にはホワイトニングが合わない方もいらっしゃいます。
コースで契約していると途中で辞められないことをプレッシャーに感じてしまう可能性があります。
当院では、1回単位での施術になるため、合わない場合はすぐに辞めることができます。
ホワイトニングの費用
| オフィスホワイトニング(1回) | 4,400円 |
|---|---|
| オフィスホワイトニング(3回セット) | 9,900円 |
| ホームホワイトニング | 13,200円 |
※全て税込表示(自費治療)
※2025年4月1日以降の価格となります
ホワイトニングとは
ホワイトニングとは、専用の薬液を使って歯の色を白くする方法です。
歯科医院で行うオフィスホワイトニングと自宅で行うホームホワイトニングの2種類があります。
歯を削る必要がないので、歯を大切にしながら歯を白くしたい方にピッタリの方法です。
このような方におすすめ
- ホワイトニングは以下のような方におすすめです
- 接客業や人前で話すお仕事をされている方
- 笑顔に自信を持ちたい方
- お顔の印象を明るくしたい方
- 清潔感を出したい方
- 若くみせたい方
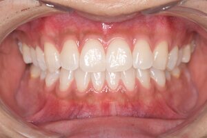
歯の色だけで人の印象はガラリと変わります。
特に笑顔は、歯が白いだけで輝きを増しますので、笑顔に自信を持ちたい方はぜひ一度当院のホワイトニングをお試しください。
オフィスホワイトニング
オフィスホワイトニングとは、歯科医院でおこなうホワイトニングのことです。
専用の機械と歯科医師・歯科衛生士が扱える専用の薬液を使うため、効果が出やすいのが特徴です。
ホームホワイトニングをつい忘れてしまう方や毎日続けることが難しい方、早く白くしたい方におすすめです。
オフィスホワイトニングの流れ
- 問診
- お口の中のチェック
- 歯の色の確認
- 歯の表面のクリーニング
- 歯ぐきの保護
- 薬剤を塗布して光を照射する
- 薬剤を除去
- 6と7を2回程度繰り返す
- 歯の色を確認
施術期間と回数
- 通院回数1〜4回
オフィスホワイトニングの通院回数は、患者様の歯の質や目標レベルによって異なりますが約1~4回です。1日3回まで施術が可能です。通院頻度は1~3ヶ月に1回程です。
オフィスホワイトニングの
症例について
現在の治療費と異なる場合がございます。最新の治療費は料金表をご確認ください。
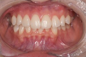
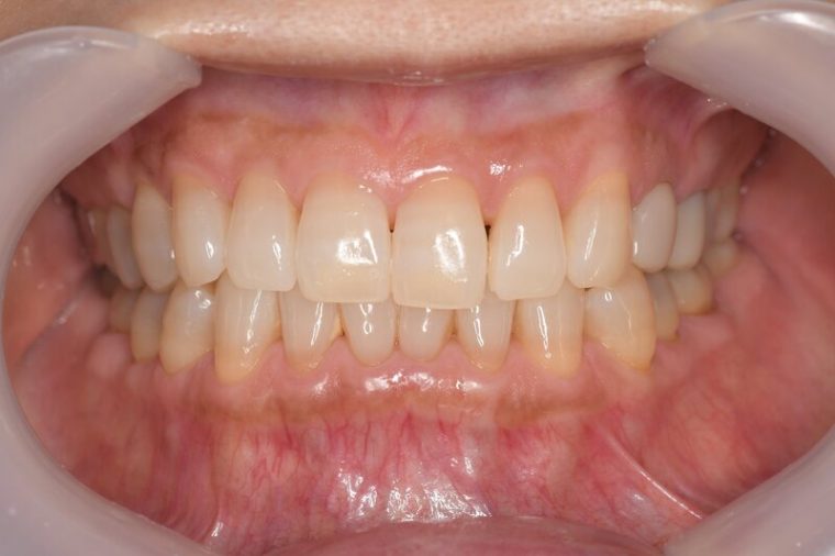
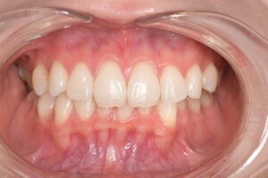
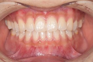
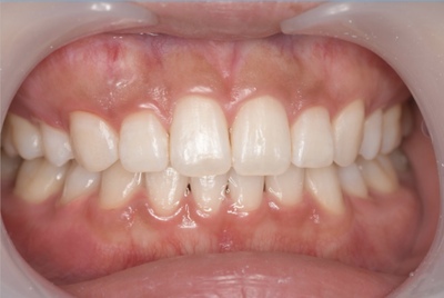
症例 1
Before
After
| 年齢・性別 | 54歳 女性 |
|---|---|
| 主訴 | 白くしたい |
| 治療内容 | PMTC、オフィスホワイトニング |
| 治療費 | 9,900円 |
| 治療期間 | 1ヶ月 |
| リスク・副作用 | 知覚過敏、ホワイトスポット |
| 治療方針 | ホワイトニングして、色が変化しなかったところはCRで修復する。 |
| 担当者所見 | オフィスホワイトニング1回で効果があったため、 今後オフィスホワイトニング3回とホームホワイトニングで白くする。 |
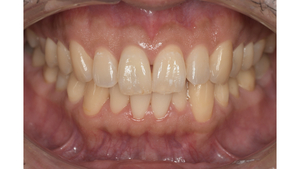
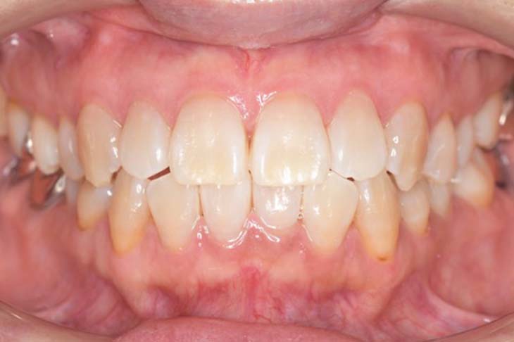
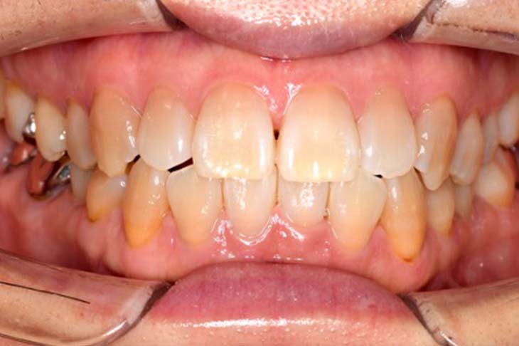
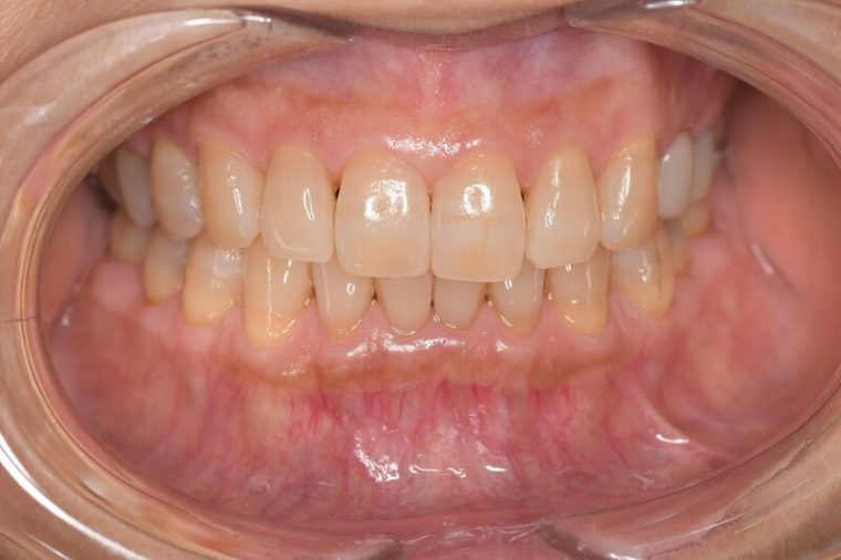
症例 2
Before
After
| 年齢・性別 | 58歳 女性 |
|---|---|
| 主訴 | ホワイトニング希望、右上の前歯の被せものと同じ色にしたい |
| 治療部位 | 上下全顎、右上1番の補綴歯以外 |
| 治療内容 | オフィスホワイトニング3回×2 |
| 治療費 | 合計19,800円(3,300円×6回) (2022年11月現在) |
| 治療期間 | 2週間 |
| リスク・副作用 | ホワイトニングの薬剤により知覚過敏を起こす可能性がある。 均等に白くならない可能性がある。 |
| 治療方針 | 右上の被せ物と色が馴染むように、オフィスホワイトニングと併用してホワイトニング効果のある歯磨き粉を使用して頂く。 |
| 特記事項 | 右上の被せ物は天然の歯と違い透明度(透け感)がない為、トーンアップしたとしても被せ物と同じように透明度がない色調にすることは難しいことを予め説明。 |
| 担当者所見 | 術前に比べると被せ物と色が馴染んできた。引き続きホワイトニング用の歯磨き粉を併用して頂くとさらに綺麗に馴染んできそう。 |
ホームホワイトニング
ホームホワイトニングとは、ご自宅で行うホワイトニングのことです。
専用のマウスピースを作る必要がありますが、一度作ってしまえば頻繁に歯科医院に通う必要がないため、授乳以降のお子様がいらっしゃる方や家事や在宅ワークで忙しい方にもおすすめです。
ホームホワイトニングの流れ
- 問診
- お口の中のチェック
- 歯の表面のクリーニング
- 歯の撮影・型どり
- ホワイトニング開始
(マウスピースと薬剤お渡し)
施術期間と回数
- 2〜3週間
回数は、型どりとマウスピース受け取りの2回です。
よくある質問症例 1
Before
After
| 年齢・性別 | 64歳 女性 |
|---|---|
| 主訴 | クリーニングとホワイトニング希望 |
| 治療部位 | 全顎 |
| 治療内容 | 初診検査、歯石除去、PMTC、ホームホワイトニングのマウスピース型取り、お渡し・説明、定期検診 |
| 治療費 | 合計:20,130円 内訳 初診検査、歯石除去:3,630円(保険診療) PMTC:5,500円(自由診療) ホームホワイトニング:11,000円(自由診療) (2022年7月現在) |
| 治療期間 | 1ヶ月半 |
| リスク・副作用 | *ホームホワイトニングは徐々にトーンアップするため、自身の理想の白さになるまで期間がかかる場合がある。 *ホワイトニング後は色の濃い食べ物飲み物は控える必要がある。 *ホワイトニング後は知覚過敏の症状がでる可能性がある。 |
| 治療方針 | 1.歯石除去 2.PMTC、ホームホワイトニング用のマウスピース型取り 3.マウスピースお渡し、使用方法説明 4.使用感の確認、クリーニング 5.定期検診 |
| 特記事項 | 35%と20%を購入し、1ヶ月間毎日35%の時は15分間、20%の時は30分間行った。 その後は2週間に1回のペースで行なっている 知覚過敏の症状はでなかった |
| 担当者所見 | 初診検査で歯周病や虫歯は見受けられなかった為スムーズにホワイトニングを行うことができた。 毎日やり続けて頂いた為、トーンアップすることができた。 |
症例 2
Before
After
| 年齢・性別 | 26歳・女性 |
|---|---|
| 主訴 | 主訴:オフィスホワイトニング希望 |
| 治療部位 | 全顎 |
| 治療内容 | 全顎オフィスホワイトニング |
| 治療費 | 合計:6,600円 内訳 オフィスホワイトニング:3,300円×2回 (2023年10月現在) |
| 治療期間 | 60分 |
| リスク・副作用 | ・当日翌日は知覚過敏の症状がでる可能性がある ・当日は色の濃い食べ物飲み物は歯に浸透しやすいため控える必要がある |
| 特記事項 | オフィスホワイトニング後ホームホワイトニングを併用して行うことでよりトーンアップが期待でき、維持もできるため、今後はホームホワイトニングも行う予定。 |
| 担当者所見 | ホワイトニングは回数を重ねることでより白さを深められるため、希望の白さにするためには最初は1週間に1度くらいのペースで行い、ある程度満足いく白さに近づいたらホームホワイトニングで維持していくのが理想的です。 |
症例 3
Before
After
| 年齢・性別 | 33歳・男性 |
|---|---|
| 主訴 | 主訴:ホワイトニング希望 治療部位:全顎 |
| 治療部位 | 1.歯石・着色除去、ホームトレーの型取り 2.ホームトレー・ジェルお渡し 3.定期検診、ジェル購入 |
| 治療内容 | 全顎オフィスホワイトニング |
| 治療費 | 合計:22,880円 1.初診検査・歯石除去(保険診療3割負担):3,630円 PMTC(自由診療):5,500円 ホームホワイトニング(トレー・ジェル2本)(自由診療):11,000円 2.トレー・ジェルお渡し、使用方法説明:0円 ジェル追加購入:2,750円/本 (2023年12月現在) |
| 治療期間 | 1ヶ月 |
| リスク・副作用 | ・ホワイトニングにより知覚過敏の症状が出る可能性がある ・均等に白くならない可能性がある ・薬液を多く入れると歯茎の方まではみ出て、歯茎が一時的に白くなり、痛みが出ることがある ・ホームホワイトニングは徐々にトーンアップするため、1回の使用だけでは効果が出ないことが多い |
| 治療方針 | 1.歯石・着色除去、ホームトレーの型取り 2.ホームトレー・ジェルお渡し 3.定期検診、ジェル購入 |
| 特記事項 | 今回20%のジェルを購入し、初めの1ヶ月はほぼ毎日夕食後から寝るまでの2時間使用。その後、白さを維持するために1週間に一度。今は1ヶ月に一度と頻度を減らして使用中。 |
| 担当者所見 | 着色がつきやすいため、定期検診とジェルの追加購入で3ヶ月おきに来院して頂き、自然な白さを維持しています。 |
症例 4
Before
After
| 年齢・性別 | 21歳・女性 |
|---|---|
| 主訴 | 主訴:オフィスホワイトニング希望 治療部位:全顎 |
| 治療内容 | オフィスホワイトニング |
| 治療費 |
合計:6,600円 内訳 オフィスホワイトニング:3,300円×2 (2024年1月現在) |
| 治療期間 | 1ヶ月 |
| リスク・副作用 | ・ホワイトニング後は知覚過敏になりしみやすくなります。 ・ご自身の歯の性質によってはオフィスホワイトニングを行う事で歯が縞模様に見えたりすることがあります。 |
| 特記事項 | 処置後はカレーやワインなどの色の濃い食べ物・飲み物はお控えください。 施術中ズキズキとした痛みが下顎前歯にあったそうなので避けて行った。 定期的に続けていくそうなのでクリーニングも並行して続けていく。 |
ウォーキングブリーチ
ウォーキングブリーチの症例
症例 1
Before
After
| 年齢・性別 | 32歳・男性 |
|---|---|
| 主訴 | 主訴:見た目を綺麗にしたい |
| 治療内容 | 右上1番 ウォーキングブリーチ3回 |
| 治療費 | ウォーキングブリーチ:5,500円×3 合計:16,500円 (2025年3月現在) |
| 治療期間 | 約3週間 |
| リスク・副作用 | 一度白くなっても、後戻りする可能性があります。 残っている天然の歯が少ない場合など、歯の状態によってはできないことがあります。 |
| 治療方針 | ①レントゲンを撮影して、歯の状態を確認します。 ②根管治療の際に入れた防腐剤を取り除き、そこに漂白剤を入れて仮フタをします。 ③1〜2週間おきに漂白剤を交換します。今回は3回行いました。 ④ご希望の白さに到達したら、薬剤を取り除き、最終的な詰め物で蓋をします。 |
| 特記事項 | 効果には個人差があるため、満足できる白さに到達するまで、繰り返し行います。 |
| 担当者所見 | 変色した歯が白くなり、全体の色味のバランスが整いました。 |
東松原歯科 診療内容
患者様のお悩みを解決する
総合診療の東松原歯科
虫⻭治療から⻭を失ってしまったかたへのインプラント、入れ⻭、美しい⻭を実現する審美⻭科(⻭のセラミック)やホワイトニングまで、総合診療を提供しております。
急な痛み、つめ物が取れた・外れた等、お口の中に困りごとがありましたら、お気軽にご相談ください。