審美歯科

最新の価格は、料金表または直接医院へお問合せください。

当院の審美歯科の特徴

歯科医院で口腔内チェックを受けている様子

当院では審美歯科に対し自信を持って
行なっています。

ホームホワイトニング、オフィスホワイトニングはもちろん、セラミックはつめ物かぶせ物ともに、様々な選択肢の中から選んでいただくことができ、一流の技工士さんにオーダーをかけて作っていただきます。
術者側の力量はもちろん大事ですが、技工士さんの腕により大きな差異が出るのがこのセラミックになります。是非症例を見ていただき気になることがあればいつでもご相談ください。

セラミック治療 審美歯科症例 セラミック治療と
歯科矯正の
違いは?
セラミック治療と
ホワイトニングで
自慢の白い歯を手にしよう

ホワイトニング

白く綺麗な歯を見せて笑っている様子

ホームホワイトニングとは

ホームホワイトニングは自宅で簡単に出来るホワイトニングになっています。
当院ではマウスピースの型どりをおこない、次回予約時にマウスピースとホワイトニングジェルをお渡しします。
使用方法は、マウスピースの歯の表面側に1本ずつジェルを米粒大つけてはめるだけです。最初はしみてしまうため短時間から、慣れてきたら長時間使用していただいて構いません。ホームホワイトニングはすぐ白くなるわけではなく、白くなった状態を長期間維持するものです。

歯型の模型とホームホワイトニングジェル、ホームホワイトニングトレーの写真

オフィスホワイトニングとは

オフィスホワイトニングは医院で行うホワイトニングになります。歯1本1本に薬液をつけ光照射を30分1セットで行います。1日で出来るのは3セットまでです。
そこからはしばらく期間をあけていただきます。オフィスホワイトニングは即効性がありすぐ白くなりますが長続きはしません。
そのためオフィスホワイトニングで白くした後にホームホワイトニングで長く維持させるのが一番オススメになっています。

オフィスホワイトニングを受ける女性のイメージ
歯のホワイトニング

歯ぐきのホワイトニング?ガムピーリングとは

ガムピーリングとは、歯ぐきの黒ずみを改善する治療方法で、「歯肉のホワイトニング」とも呼ばれています。
喫煙などで黒ずんだ歯ぐきに薬剤を塗ることで、表面が1層剥がれて綺麗な歯ぐきにすることができる治療です。

動画で見る:ガムピーリングとは?

当院の審美歯科の症例

現在の治療費と異なる場合がございます。最新の治療費は料金表をご確認ください。

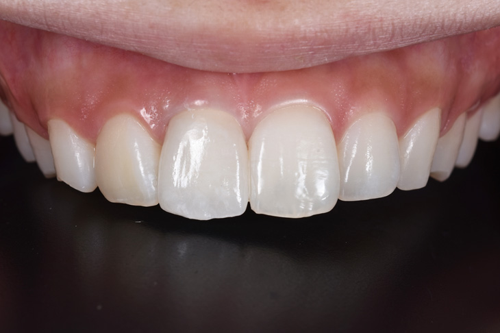
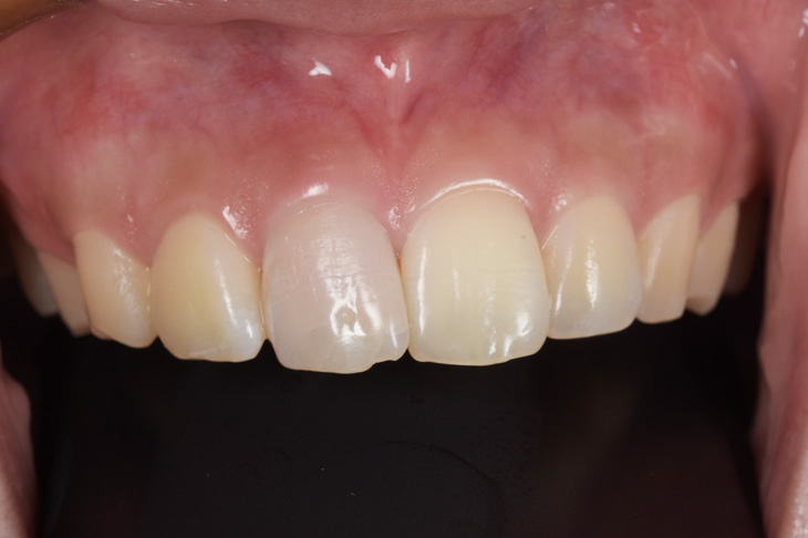
CASE 1

Before

症例写真

After

症例写真
年齢・性別 20代・女性
主訴 右上1の審美障害
治療内容 ジルコニアボンドクラウン
治療費 165,000円
治療期間 1ヶ月
リスク・副作用 歯の破折
治療方針 まずは仮歯を入れながら形、機能面を精査。
その後問題がなければ最終的な被せ物の型取りと色合わせをしていき、仮の接着剤でしばらく過ごしていただく。
日常生活に問題がなく、審美的にも満足していただけたら最終的な接着剤で装着。
特記事項 仮歯の期間は患者様のお口の中の状態で変わってきます。
担当者所見 前歯をぶつけ、神経が死んでしまったため黒くなってしまった症例になります。元々の歯がかなり白く綺麗であったため審美面での調整が難しいケースになりましたが最終的に満足していただくことができました。
症例一覧はこちら

CASE 2

Before

症例写真

After

症例写真
年齢・性別 40代・女性
主訴と治療部位 主訴:虫歯を治療して白い詰め物にしたい
部位:右上5~7番
治療内容 セラミックインレー
治療費 合計:181,500円
セラミックインレー:60,500円×3本
(2023年5月現在)
治療期間 約2週間
リスク・副作用 ・歯ぎしり、食いしばりにより割れる可能性があります。
・神経が生きているため、しみることがあります。
・再度虫歯になる可能性があります。
治療方針 ・金属を除去し中の虫歯を取り除きセラミックインレーの型どりを行います。
・治療後にはマウスピースの装着をしていただきます。
特記事項 左下6番、7番は銀歯の中が虫歯になっていたケース
担当者所見 銀歯の見た目を気にされていたので、セラミックインレーに変えたことで精度、審美面どちらも患者様には満足していただけました。

CASE 3

Before

症例写真

After

症例写真
年齢・性別 30代・男性
主訴と治療部位 主訴:虫歯を治療して白い詰め物にしたい
部位:左上7番
治療内容 セラミックインレー
治療費 セラミックインレー
合計:55,000円(税込)
(2023年4月現在)
治療期間 約2週間
リスク・副作用 ・神経が生きているため、しみることがある
・再度虫歯になる可能性がある
治療方針 左上7番の虫歯を除去して詰め物の型取りを行う。
患者さまのご希望に沿った詰め物をご提案させていただき、精度・審美面どちらも優れたセラミックインレーにて治療。
特記事項 金属アレルギーがある人はもちろん、金属を使用することにより後発性の金属アレルギーになることがあります。
セラミックに関しては一切金属を使用していないためそのような心配はありません。
担当者所見 セラミックはオーダーメイドで製作しているため、患者さまに合わせた色、透明度、また再現性にとても優れています。

東松原歯科 診療内容

患者様のお悩みを解決する
総合診療の東松原歯科

虫⻭治療から⻭を失ってしまったかたへのインプラント、入れ⻭、美しい⻭を実現する審美⻭科(⻭のセラミック)やホワイトニングまで、総合診療を提供しております。

急な痛み、つめ物が取れた・外れた等、お口の中に困りごとがありましたら、お気軽にご相談ください。