歯の着色を防ぐ4つの方法

はじめに

「歯の着色を防ぎたい!」と思っていても着色してしまい、何をしてよいのかわからずに悩んでしまう人も多いのではないでしょうか。着色のない歯の人は清潔感があり、印象もよく憧れますよね。
歯の着色は、4つの方法を継続すると、美しい歯をキープできます。

この記事は、歯の着色を防いで清潔感のある歯を保ちたいと考えている人へ向けて、歯の着色を防ぐ方法について詳しく解説します。

白く綺麗な歯を見せながら微笑む女性の口元

100%の着色は防げませんが、きれいな歯を保つために、是非ともこの記事を参考に取り組みを検討してみてください。

歯の着色のメカニズムと原因

日常生活で避けられない歯の着色の多くは、飲食物などの色素が歯の表面につくことです。

歯の表面につく着色汚れをステインともいいます。着色は蓄積すると徐々に歯が黄ばみ、口元の印象が大きく変わります。はじめに、歯に着色するメカニズムと原因について紹介します。

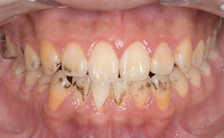
歯の表面についたステインがわかりやすい口の中の写真

※10代・男性:3年ぶりに歯のクリーニングにご来院された患者さま。コーヒーをよく飲む。

歯に着色するメカニズム

歯の表面にはペリクルという薄い膜があります。

ペリクルは歯の表面を保護し、虫歯菌によって作られる酸によって歯が溶けたところを修復する力があります。
しかし、ペリクルは溶けた歯を修復するときに飲食物などの色素が残っていると、色素も含めて再び歯に膜を作ります。そのため歯に着色してしまいます。

歯に着色する原因

歯に着色する原因はさまざまな理由があり、主な原因は食事、喫煙や生活習慣などに関係しています。
コーヒー、紅茶、赤ワインやカレーなどは着色しやすい代表的な飲食物の例です。これらの色素は歯に付着し、色素が時間の経過とともに歯に定着します。

また、不適切な歯磨きは着色の元となる色素や食べかす、歯垢(プラーク)の蓄積を促し、歯に着色しやすい環境をつくります。

歯の黄ばみの原因

歯の着色を防ぐ4つの方法

歯の表面につく着色は完全ではありませんが、次の4つの方法を継続すると防げます。

  • 正しい歯磨き
  • 食事習慣
  • 生活習慣
  • 歯科クリニックで定期的にクリーニング
歯磨きをする女性

着色は適切な歯磨きと歯科クリニックの定期的な受診によって管理できます。食事習慣や生活習慣にも気をつけ、歯の着色を最小限に抑えましょう。

次の項目から具体的なポイントを説明していきます。

歯の着色を防ぐ方法1:正しい歯磨き

着色を防ぐためには、飲食物などの色素が歯に定着する前に、適切な歯磨きで除去する必要があります。歯を磨くときに、注意する具体的なポイントを紹介します。

ゴシゴシ磨かない

強い力で歯を磨くと、歯の表面に傷ができます。
その傷から着色する色素が入り込むと、歯に色がついてしまいます。

新しい歯ブラシを使って、1ヵ月で毛先が開いてしまう人は力を入れすぎです。歯の表面を傷つけないように、やさしく磨きましょう。

一本ずつ丁寧に磨く

自分の歯の本数を意識して歯磨きしていますか?
ただなんとなく歯磨きしていると、歯ブラシが当たっている歯と、全く当たっていない歯があります。それを防ぐためには、歯を磨く順番を決めて、鏡を見ながら一本ずつ丁寧に磨きましょう。

歯間ブラシなどで細かな部分をきれいにする

どんなに丁寧に歯磨きしても、歯と歯の間には歯ブラシが届きにくいので、汚れが残ります。そこで、歯間ブラシやデンタルフロスの併用が有効です。歯間をきれいにすると、虫歯のリスクも低減できます。

着色を除去する効果のある歯磨き粉の使用

歯磨き粉には、着色を除去するのに有効な成分が含まれているものがあります。注意点は、歯を傷つけてしまう研磨剤が入っているかどうかです。歯に傷をつけてしまうと、さらなる着色を促してしまいます。

おすすめの代表的な成分を3つ紹介しますので、是非とも参考にしてください。

◼︎ピロリン酸ナトリウム

ピロリン酸ナトリウムは、着色の付着をゆるめて浮かしてくれるので、効果的に着色の除去ができます。

◼︎ポリリン酸ナトリウム

ポリリン酸ナトリウムは、着色汚れを落とす効果に加え、歯の表面をコーティングしてくれるので、汚れの付着も防ぐ効果があります。

◼︎ハイドロキシアパタイト

ハイドロシキアパタイトは、歯の表面の細かな傷を修復するので、着色しにくいなめらかな歯の表面にしてくれます。また、着色を吸収しながら取り除いてくれる特徴もあります。

歯の着色を防ぐ方法2:食事習慣

ポリフェノールを含む飲食物は着色しやすい傾向にありますが、多くの飲食物に含まれており、避けることはできません。そのため、着色しにくい環境を作るための食事習慣について紹介します。

よくかんでゆっくり食べる

よくかんで食べると、唾液が多く分泌されます。
唾液には自浄作用があるので、唾液の分泌を促すことで口腔内に残る色素を洗い流してくれます。

そのため、早食いの人は注意が必要です。食事はよくかんで、ゆっくり食べ、唾液の分泌を促しましょう。

食後に歯を磨く

食べた後に色素を定着させないためには、毎食後の歯磨きが必要です。しかし、日中は仕事で歯磨きが難しい場合もあります。その場合は、食後に水で口をゆすいで汚れを洗い流しましょう。

ガムをかんで唾液の分泌を促す

口腔内が乾燥すると着色しやすくなるため、食後にガムをかんで唾液の分泌を促すことも効果的です。

ガムは糖分が含まれていると虫歯の原因になるので、歯科クリニックで取り扱っているキシリトール100%のタイプやフッ素が配合されているタイプがおすすめです。

着色しやすいドリンクは、ストローで飲む

ホットドリンクではできませんが、アイスコーヒーやアイスティーなどの着色しやすい飲み物には、ストローを使用すると直接歯に着色する色素が触れにくいのでおすすめです。
また、歯が乾いている状態では着色しやすいので、色素の濃い飲み物を飲むときは、先に水を飲んで口腔内を潤わせるとよいでしょう。

歯の着色を防ぐ方法3:生活習慣

食事習慣以外の生活習慣によっても着色が歯につきやすい環境を作ってしまうことがあります。できる範囲で気をつけましょう。

たばこを控える・やめる

たばこは着色の大敵です。たばこの煙に含まれている成分のタールは黒くネバネバとしています。タールが歯に付着して蓄積されると歯が黄ばみます。また、たばこは唾液の分泌量を減らしてしまいます。たばこは可能な限り控えましょう。

アルコールの過剰な摂取は控える

アルコールは利尿作用があるため、体内の水分量が低下し、口腔内が乾燥します。
また、アルコールを過剰に摂取すると食事の量が減ってしまい、かむ回数が減ってしまうので唾液の分泌量が低下します。過剰な摂取は極力控えましょう。

過度なストレスを感じない環境を作る

過度なストレスを感じたり、緊張したりすると、自律神経のバランスが崩れて唾液の分泌量が少なくなることがあります。
しっかり睡眠時間を取ることや、休む時間を作る、ストレス解消の時間を作る、強いストレスを感じることから離れるなどのストレスをコントロールして、自分の身体を大切にしましょう。

口呼吸しない

口呼吸していると口腔内が乾燥するので、着色しやすい環境を作ってしまいます。
無意識のうちに口呼吸していたり、寝ている間に口呼吸していたりすることも。鼻呼吸を意識し、水分補給をマメにして口腔内が乾燥しないように注意しましょう。

歯の着色を防ぐ方法4:歯科クリニックで定期的なクリーニング

着色を防ぐには、歯科クリニックで受ける定期的なクリーニングは欠かせません。
日常的に行う歯磨きや食事習慣、生活習慣に気をつけていても必ず着色はついてしまいます。そのため、歯科クリニックでプロによる専門的なクリーニングを定期的に受ける必要があります。

歯科医院の歯のクリーニング専用の機械で歯を磨かれている様子

歯に付いてしまった着色は歯科クリニックで落とす

着色を落とす方法は、歯科クリニックでクリーニングを受けましょう。
インターネット上では、自分で着色を落とすさまざまな方法を目にしますが、自分の歯や歯ぐきを傷つけてしまう危険性があります。着色汚れは、歯科クリニックでプロによる専門的な機械での施術を受けましょう。

着色を落とすクリーニング

歯のクリーニングはPMTCといわれる処置です。
ハンドスケーラーや超音波スケーラーを使用してプラークや歯石を除去し、電動のブラシと専用のペーストを使用して歯1本ずつを丁寧に磨き、着色などの汚れを除去します。

仕上げにフッ素やトリートメントを塗布してツルツルに仕上げ、本来の歯の色を取り戻します。 普段自分では落とせない汚れを隅々まできれいにし、口腔内をリセットします。

クリーニングの頻度

クリーニングの頻度は一般的に3ヵ月に一度が目安といわれています。しかし口腔内の状況はそれぞれ異なるため、頻度はドクターや歯科衛生士と相談して決めましょう。

口腔内の清潔を保てない場合や、虫歯・歯周病のリスクが高い、着色がつきやすいなどのさまざまな理由で頻度を早めることがあります。

何回も通うのはなぜ?

歯の色を変えるホワイトニング

クリーニングして自分の歯の色を取り戻し、さらに白く見せたいと考えている人は、ホワイトニングも検討しましょう。
クリーニングは着色などの汚れを落として自分の歯の色に戻しますが、ホワイトニングは歯を削らず、薬液を用いて歯を白くします。興味のある方はご相談ください。

ホームホワイトニングのトレーにホワイトニングジェルを塗布している様子

歯のホワイトニング

着色を防ぐための取り組みは予防歯科と共通している

丁寧な歯磨きや定期的な歯科クリニックでのクリーニングは、虫歯や歯周病などを未然に防ぐための取り組みである予防歯科と共通しています。

日常的な適切な歯磨きと、定期的なクリーニングで歯石やプラーク、着色を徹底的に除去する両方の継続がとても大切です。虫歯予防、歯周病予防、口臭予防や着色予防になり、将来的には歯科治療費を削減できます。

歯の着色汚れを防ぐ取り組みをしながら、口腔内の健康を保ちましょう。

歯科医院でスタッフにお口の中をチェックされる男性

まとめ

歯の着色は、正しい歯磨きの方法や食事習慣、生活習慣、歯科クリニックの定期的な受診によって予防できます。

継続し続けることはとても大変ですが、歯科クリニックと提携しながら着色を予防して、美しい歯をキープしましょう。歯の着色汚れやホワイトニング、予防歯科など気になることはお気軽にご相談ください。